해든동물의료센터
인사말
장비 소개
메인장비
안과장비
처치실장비
수술실장비
재활실장비
진료비 안내
지점안내
의정부점
진료 안내
의료진 소개
특화 진료
진료 시간표
양주점
진료 안내
의료진 소개
특화 진료
진료 시간표
민락점
진료 안내
의료진 소개
특화 진료
진료 시간표
MRI/CT 영상진단센터
MRI 검사
CT/3D CT 검사
X-ray 검사
초음파 검사
특화진료센터
정형/신경 외과센터
심장/신장 내과센터
안과 전문센터
고양이 전문센터(ISFM)
건강검진센터
세부진료
중증 외과 센터
24시 응급진료센터
종양/암센터
재활치료센터
치과진료센터
커뮤니티
지역병원 진료의뢰
진료 케이스
공지사항
채용
해든동물의료센터
인사말
장비 소개
메인장비
안과장비
처치실장비
수술실장비
재활실장비
진료비 안내
지점안내
의정부점
진료 안내
의료진 소개
특화 진료
진료 시간표
양주점
진료 안내
의료진 소개
특화 진료
진료 시간표
민락점
진료 안내
의료진 소개
특화 진료
진료 시간표
MRI/CT 영상진단센터
MRI 검사
CT/3D CT 검사
X-ray 검사
초음파 검사
특화진료센터
정형/신경 외과센터
심장/신장 내과센터
안과 전문센터
고양이 전문센터(ISFM)
건강검진센터
세부진료
중증 외과 센터
24시 응급진료센터
종양/암센터
재활치료센터
치과진료센터
커뮤니티
지역병원 진료의뢰
진료 케이스
공지사항
채용
영상진단센터
HAEDEUN animal medical center
MRI 검사
CT/3D CT 검사
X-ray 검사
초음파 검사
CT/3D-CT 검사
CT 검사는 방사선을 이용하여 신체 구조물의
단면을 영상화 하는 검사 장비로
눈으로
보기 힘든 부분을 정밀하게 볼 수 있으며,
혈관 조영 및 3D 재구성을 통해 수술과 같은
처치를 보다 안전하고 완벽하게 진행하는데
도움을 줄 수 있습니다.
CT 검사
이럴 때 필요해요.
두부
외상에 의한 골절, 비강의 이물,
염증 및 종양성 변화
흉부
종양의 전이 평가, 흉강 내 원발성 종양,
흉강 내 혈관 이상
복부
복강 내 종양 및 전이 평가,
복강 내 혈관 이상
근골격
복합골절, 근육 및
뼈 유래의 종양
3D-CT 검사
이럴 때 필요해요.
선천적인 혈관 이상이나 단순한 골절이 아닌
복합적인 골절이 발생한 경우 3D 재구성을 통해
한눈에 병변과 이상을 확인할 수 있습니다.
검사 순서 안내
STEP 01
주치의 진료
STEP 02
마취 전 검사
STEP 03
영상 검사 진행
STEP 04
영상의학 진단 소견 전달
STEP 05
내/외과 협진
STEP 06
입원 및 치료
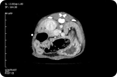
진료 사례
간문맥단락증 (PSS)
복강종양
비강골절
간문맥단락증 (PSS)
복강종양
비강골절
CT 검사 시
주의사항
정확한 검사를 위해 검진 전 최소 8시간 이상 공복 유지해주시기 바랍니다.
(주식, 사료를 포함한 간식은 일체 불가하나 물은 평상시 먹는대로 먹여주시길 바랍니다.)
정확한 검진을 위해 최대한 평상시와
같은 상태(식습관, 환경, 컨디션 등)로
유지해주시기 바랍니다.