해든동물의료센터
인사말
장비 소개
메인장비
안과장비
처치실장비
수술실장비
재활실장비
진료비 안내
지점안내
의정부점
진료 안내
의료진 소개
특화 진료
진료 시간표
양주점
진료 안내
의료진 소개
특화 진료
진료 시간표
민락점
진료 안내
의료진 소개
특화 진료
진료 시간표
MRI/CT 영상진단센터
MRI 검사
CT/3D CT 검사
X-ray 검사
초음파 검사
특화진료센터
정형/신경 외과센터
심장/신장 내과센터
안과 전문센터
고양이 전문센터(ISFM)
건강검진센터
세부진료
중증 외과 센터
24시 응급진료센터
종양/암센터
재활치료센터
치과진료센터
커뮤니티
지역병원 진료의뢰
진료 케이스
공지사항
채용
해든동물의료센터
인사말
장비 소개
메인장비
안과장비
처치실장비
수술실장비
재활실장비
진료비 안내
지점안내
의정부점
진료 안내
의료진 소개
특화 진료
진료 시간표
양주점
진료 안내
의료진 소개
특화 진료
진료 시간표
민락점
진료 안내
의료진 소개
특화 진료
진료 시간표
MRI/CT 영상진단센터
MRI 검사
CT/3D CT 검사
X-ray 검사
초음파 검사
특화진료센터
정형/신경 외과센터
심장/신장 내과센터
안과 전문센터
고양이 전문센터(ISFM)
건강검진센터
세부진료
중증 외과 센터
24시 응급진료센터
종양/암센터
재활치료센터
치과진료센터
커뮤니티
지역병원 진료의뢰
진료 케이스
공지사항
채용
영상진단센터
HAEDEUN animal medical center
MRI 검사
CT/3D CT 검사
X-ray 검사
초음파 검사
초음파 검사
복부/심장 초음파 검사는 복강 내에 존재하는
장기들은 물론 혈관과 같은 작은 구조물,
심장의 움직임 및 구조까지 실시간으로
평가할 수 있는 비침습적인 검사입니다.
01
07
복부 초음파
이럴 때 필요해요.
소화기계 관련 증상, 비뇨기계 관련 증상,
간/담도계 관련 증상은 물론 신경증상이나 호르몬 질환이
의심될 경우에도 복부 초음파 검사가 지시될 수 있습니다.
비장종양
복부 소장이물
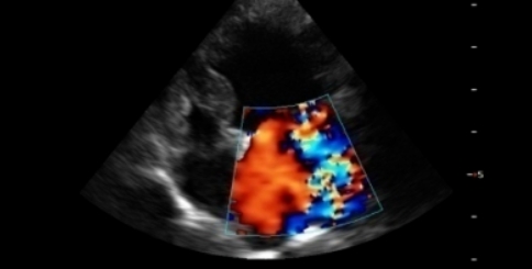
심장 초음파
이럴 때 필요해요.
호흡곤란, 운동 불내성, 기절과 같은 임상증상을
보이는 경우
심장초음파 검사가 필요 할 수 있습니다.
동맥관개존증
이첨판폐쇄부전
심장사상충증